OBGYN Academy

MASTER ENDOMETRIOSIS ULTRASOUND

Refine your skills⬩Elevate your accuracy⬩Transform patient care

Ā Learn how to identify, assess, and map endometriosis with precision using transvaginal ultrasound. Build the confidence and expertise to make accurate, meaningful diagnoses that improve patient outcomes.Ā 

Discover our FREEĀ Endometriosis Ultrasound Learning Module

Build your confidence and accuracy in diagnosing endometriosis. Practical guidance from a leading expert with real-world clinical insights.

Start learning with The Ultrasound Academy today.

Free Learning Module

Advance your Endometriosis Ultrasound Expertise

Take your skills further with our Foundational, Advanced, and Complete structured learning modules. Gain practical, evidence-based training to improve diagnostic accuracy, confidence, and clinical impact. Learn step-by-step how to identify, assess, and map endometriosis using transvaginal ultrasound.

Elevate your diagnostic expertise with The Ultrasound Academy.

Structured Modules
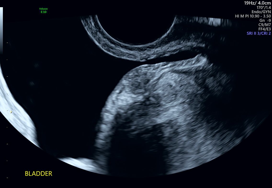
Bladder Endometriosis
3D Uterus
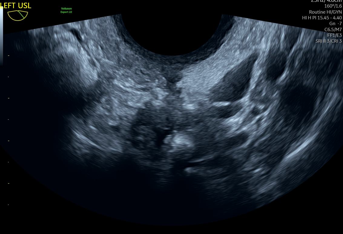
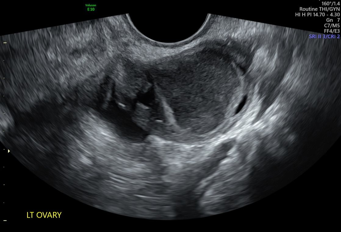
Endometriosis